Sitio dirigido a profesionales de la salud.

La información presentada en este sitio está dirigida únicamente a profesionales de la salud, si usted selecciona "ACEPTO" está verificando que es un profesional de la salud en Argentina.

No

Close-up of a microscope with an abstract overlay of white circles in a lab setting

Interpretación de la tinción

Diversos estudios han evaluado tanto la tinción de las membranas como el porcentaje de células tumorales teñidas para la expresión de CLDN18.21,2.

En tumores G/UGE, CLDN18.2 se reporta como el porcentaje de células teñidas con una intensidad de tinción de la membrana de moderada a intensa1.

  • Las laminillas de tejido que presentan células tumorales pueden mostrar distintos niveles de intensidad de tinción de CLDN18 de membrana, que van desde ausencia de tinción a tinción intensa (0 a 3+).
  • Muchos estudios han incluido para la puntuación de CLDN18 exclusivamente los porcentajes de células tumorales que mostraban tinción de membrana de moderada a intensa (2+/3+).
  • Durante la interpretación debe tenerse en cuenta la necrosis tumoral.

 

stain-interpretation

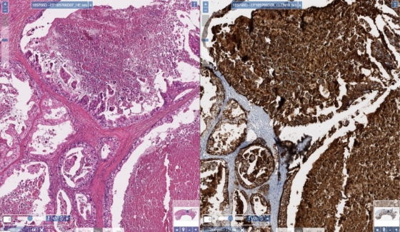
Comparación de la tinción con H&E e IHQ de la necrosis de tumor gástrico (aumento 10x)

overlayvideoimage
play-icon

stain-interpretation

stain-interpretation

closeicon
volumeicon

stain-interpretation

closeicon

stain-interpretation

¿Cómo interpretar la tinción de CLDN18.2?

Dr. Josef H. Rüschoff, MD

Haga clic para acceder a la galería y al cuestionario

Grey circles on light background

Cuando se reporta la expresión de CLDN 18.2 se deben incluir, tanto la intensidad de la tinción, como el porcentaje de las células tumorales.

Referencias: 1. Pellino A, Brignola S, Riello E, et al. Association of CLDN18 protein expression with clinicopathological features and prognosis in advanced gastric and gastroesophageal junction adenocarcinomas. J Pers Med (Epub) 10-26-2021. 2. Rohde C, Yamaguchi R, Mukhina S, et al. Comparison of Claudin 18.2 expression in primary tumors and lymph node metastases in Japanese patients with gastric adenocarcinoma. Jpn J Clin Oncol 2019;49(9):870-6.